
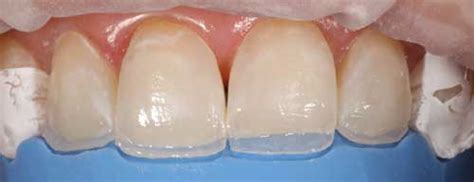
Esthetic Composite Bonding
Executive Summary
Discover comprehensive insights about Esthetic Composite Bonding. Analysis of 7 verified sources and 8 visual references. It is unified with 2 parallel concepts to provide full context.
Related research areas for "Esthetic Composite Bonding" include: AESTHETIC Definition & Meaning, ESTHETIC definition in American English, among others.
Dataset: 2026-V2 • Last Update: 1/10/2026
Esthetic Composite Bonding Overview and Information
Detailed research compilation on Esthetic Composite Bonding synthesized from verified 2026 sources.
Understanding Esthetic Composite Bonding
Expert insights into Esthetic Composite Bonding gathered through advanced data analysis in 2026.
Esthetic Composite Bonding Detailed Analysis
In-depth examination of Esthetic Composite Bonding utilizing cutting-edge research methodologies from 2026.
Everything About Esthetic Composite Bonding
Authoritative overview of Esthetic Composite Bonding compiled from 2026 academic and industry sources.
Esthetic Composite Bonding Expert Insights
Strategic analysis of Esthetic Composite Bonding drawing from comprehensive 2026 intelligence feeds.
Visual Analysis
Data Feed: 8 UnitsComprehensive Analysis & Insights
Kids Definition aesthetic adjective aes· thet· ic variants or esthetic es-ˈthet-ik, is- : of or relating to beauty or what is beautiful. Furthermore, ESTHETIC meaning | Definition, pronunciation, translations and examples in American English. Moreover, Define esthetic. These findings regarding Esthetic Composite Bonding provide comprehensive context for understanding this subject.
View 2 Additional Research Points →▼
ESTHETIC definition in American English | Collins English ...
ESTHETIC meaning | Definition, pronunciation, translations and examples in American English
Esthetic - definition of esthetic by The Free Dictionary
Define esthetic. esthetic synonyms, esthetic pronunciation, esthetic translation, English dictionary definition of esthetic. adj. & n. Variant of aesthetic. American Heritage® Dictionary of the English …
Helpful Intelligence?
Our AI expert system uses your verification to refine future results for Esthetic Composite Bonding.