_109126.jpg)
Hypodontia A Team Approach To Management
Executive Summary
Expert compilation on Hypodontia A Team Approach To Management. Knowledge base synthesized from 10 verified references with 8 visuals. It is unified with 7 parallel concepts to provide full context.
People searching for "Hypodontia A Team Approach To Management" are also interested in: Hypodontia (Missing Teeth): Causes & Treatment, Hypodontia Treatment: Causes of Congenitally Missing Teeth, Hypodontia: Causes, Symptoms, and Treatment, and more.
Dataset: 2026-V2 • Last Update: 12/7/2025
Hypodontia A Team Approach To Management Complete Guide
Comprehensive intelligence analysis regarding Hypodontia A Team Approach To Management based on the latest 2026 research dataset.
Hypodontia A Team Approach To Management Overview and Information
Detailed research compilation on Hypodontia A Team Approach To Management synthesized from verified 2026 sources.
Understanding Hypodontia A Team Approach To Management
Expert insights into Hypodontia A Team Approach To Management gathered through advanced data analysis in 2026.
Hypodontia A Team Approach To Management Detailed Analysis
In-depth examination of Hypodontia A Team Approach To Management utilizing cutting-edge research methodologies from 2026.
Visual Analysis
Data Feed: 8 UnitsKey Findings & Research Synthesis
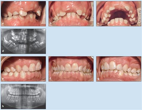
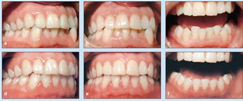
Hypodontia (Missing Teeth) People with hypodontia are born with missing teeth. Additionally, Hypodontia (congenitally missing teeth) can affect children's baby teeth and permanent teeth. Furthermore, This article delves into the causes, prevalence, clinical features, diagnostic approaches, and treatment options for hypodontia. Moreover, Hypodontia refers to the absence of one or more teeth. These findings regarding Hypodontia A Team Approach To Management provide comprehensive context for understanding this subject.
View 4 Additional Research Points →▼
Hypodontia Treatment: Causes of Congenitally Missing Teeth - Dentaly
Apr 23, 2025 · Hypodontia (congenitally missing teeth) can affect children's baby teeth and permanent teeth. Read about hypodontia causes, risks and treatments.
Hypodontia: Causes and Treatments - denpedia.com
This article delves into the causes, prevalence, clinical features, diagnostic approaches, and treatment options for hypodontia
What Is Hypodontia? Causes And Treatments For Missing Teeth
Jan 9, 2023 · Hypodontia refers to the absence of one or more teeth. Learn how this condition is diagnosed and treated.
Hypodontia: Cause, Signs, Risks & Treatments - Longevita Dental
Apr 9, 2025 · What Is Hypodontia? Hypodontia is the most common dental anomaly that refers to the absence of 1 to 5 teeth. It results in the formation of gaps and spaces, which can result in the …
Helpful Intelligence?
Our AI expert system uses your verification to refine future results for Hypodontia A Team Approach To Management.