Imaging Of Occupational And Environmental Disorders Of The Chest
Analysis ID: ORVDL8
Dataset: Global Intelligence 2026-V2

Imaging Of Occupational And Environmental Disorders Of The Chest

Share

Executive Summary

Expert compilation on Imaging Of Occupational And Environmental Disorders Of The Chest. Knowledge base synthesized from 10 verified references with 8 visuals. It is unified with 9 parallel concepts to provide full context.

Users exploring "Imaging Of Occupational And Environmental Disorders Of The Chest" often investigate: Medical imaging services in Tyler, TX, Tyler Radiology Associates, P.A., Touchstone Imaging Tyler • MRI, CT and Ultrasound, and similar topics.

Dataset: 2026-V2 • Last Update: 12/27/2025

Everything About Imaging Of Occupational And Environmental Disorders Of The Chest

Authoritative overview of Imaging Of Occupational And Environmental Disorders Of The Chest compiled from 2026 academic and industry sources.

Imaging Of Occupational And Environmental Disorders Of The Chest Expert Insights

Strategic analysis of Imaging Of Occupational And Environmental Disorders Of The Chest drawing from comprehensive 2026 intelligence feeds.

Comprehensive Imaging Of Occupational And Environmental Disorders Of The Chest Resource

Professional research on Imaging Of Occupational And Environmental Disorders Of The Chest aggregated from multiple verified 2026 databases.

Imaging Of Occupational And Environmental Disorders Of The Chest In-Depth Review

Scholarly investigation into Imaging Of Occupational And Environmental Disorders Of The Chest based on extensive 2026 data mining operations.

Visual Analysis

Data Feed: 8 Units
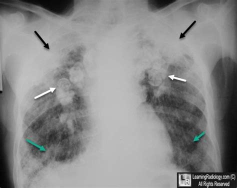
Imaging of Occupational Lung Disease | PDF

Imaging of Occupational Lung Disease | PDF

Bing
Occupational Lung Diseases: Spectrum of Common Imaging Manifestations ...

Occupational Lung Diseases: Spectrum of Common Imaging Manifestations ...

Bing
An In-Depth Exploration of Occupational Lung Diseases: Causes, Impacts ...

An In-Depth Exploration of Occupational Lung Diseases: Causes, Impacts ...

Bing
Imaging of Occupational and Environmental Disorders of the Chest ...

Imaging of Occupational and Environmental Disorders of the Chest ...

Bing
Environmental and Occupational Disorders Flashcards | Quizlet

Environmental and Occupational Disorders Flashcards | Quizlet

Bing
Our Services

Our Services

Bing
Occupational Imaging

Occupational Imaging

Bing
CM II exam 1 - environmental and occupational lung disorders Flashcards ...

CM II exam 1 - environmental and occupational lung disorders Flashcards ...

Bing

Key Findings & Research Synthesis

We are medical doctors (MDs) who specialize in diagnosing diseases and injuries using medical imaging techniques such as x-rays, computed tomography (CT), magnetic resonance imaging (MRI), nuclear …. Research indicates, Touchstone Imaging Tyler offers world-class medical imaging services in the heart of Tyler, Texas, including MRI, CT, Ultrasound and X-rays. Evidence suggests, At Sono Care of East Texas, our highly skilled team of ARDMS and RVT Registered Technologist, and latest cutting-edge equipment and techniques, provide detailed imaging in 2D, 3D/4D, and HD Live 5D. Analysis reveals, Touchstone Imaging Tyler located at 2019 Old Troup Hwy, Tyler, TX 75701 - reviews, ratings, hours, phone number, directions, and more. These findings regarding Imaging Of Occupational And Environmental Disorders Of The Chest provide comprehensive context for understanding this subject.

View 4 Additional Research Points →

Touchstone Imaging Tyler • MRI, CT and Ultrasound

Knowledge BaseResearch Entry • ID: 2026-0002

Feb 19, 2023 · Touchstone Imaging Tyler offers world-class medical imaging services in the heart of Tyler, Texas, including MRI, CT, Ultrasound and X-rays. Conveniently located, our freestanding …

Sono Care of East Texas - Reliable Medical Diagnostic Imaging Center ...

Knowledge BaseResearch Entry • ID: 2026-0003

At Sono Care of East Texas, our highly skilled team of ARDMS and RVT Registered Technologist, and latest cutting-edge equipment and techniques, provide detailed imaging in 2D, 3D/4D, and HD Live 5D.

Touchstone Imaging Tyler in Tyler, TX 75701 - 903-526...

Knowledge BaseResearch Entry • ID: 2026-0004

Touchstone Imaging Tyler located at 2019 Old Troup Hwy, Tyler, TX 75701 - reviews, ratings, hours, phone number, directions, and more.

Best Medical Imaging Services in Tyler | Buoy

Knowledge BaseResearch Entry • ID: 2026-0005

May 17, 2025 · Medical imaging encompasses various techniques used to create visual representations of the interior of the body for clinical analysis and medical intervention. These procedures include X …

Helpful Intelligence?

Our AI expert system uses your verification to refine future results for Imaging Of Occupational And Environmental Disorders Of The Chest.

Related Intelligence Nodes

Network Suggestions