
Tuberculosis Control In The Western Pacific Region 2010 Report
Executive Summary
Authoritative overview of Tuberculosis Control In The Western Pacific Region 2010 Report. Intelligence gathered from 10 credible feeds and 8 supporting images. It is unified with 4 parallel concepts to provide full context.
Associated intelligence areas with "Tuberculosis Control In The Western Pacific Region 2010 Report": Tuberculosis: Causes and How It Spreads, Tuberculosis: causas y cómo se propaga, Clinical Overview of Tuberculosis Disease, and further research.
Dataset: 2026-V1 • Last Update: 11/27/2025
Tuberculosis Control In The Western Pacific Region 2010 Report Expert Insights
Strategic analysis of Tuberculosis Control In The Western Pacific Region 2010 Report drawing from comprehensive 2026 intelligence feeds.
Comprehensive Tuberculosis Control In The Western Pacific Region 2010 Report Resource
Professional research on Tuberculosis Control In The Western Pacific Region 2010 Report aggregated from multiple verified 2026 databases.
Tuberculosis Control In The Western Pacific Region 2010 Report In-Depth Review
Scholarly investigation into Tuberculosis Control In The Western Pacific Region 2010 Report based on extensive 2026 data mining operations.
Tuberculosis Control In The Western Pacific Region 2010 Report Complete Guide
Comprehensive intelligence analysis regarding Tuberculosis Control In The Western Pacific Region 2010 Report based on the latest 2026 research dataset.
Tuberculosis Control In The Western Pacific Region 2010 Report Overview and Information
Detailed research compilation on Tuberculosis Control In The Western Pacific Region 2010 Report synthesized from verified 2026 sources.
Visual Analysis
Data Feed: 8 UnitsComprehensive Analysis & Insights
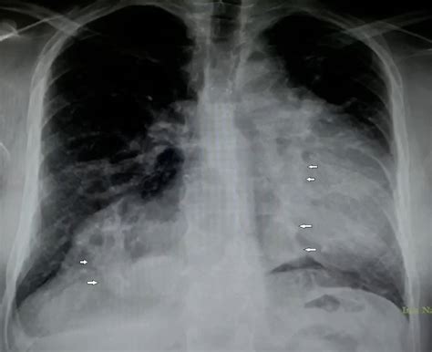
About Tuberculosis Key points Tuberculosis (TB) is caused by a bacterium called Mycobacterium tuberculosis. Data confirms, Causas La tuberculosis es una enfermedad causada por la bacteria o microbio Mycobacterium tuberculosis. Insights reveal, Clinical Overview of Tuberculosis Disease At a glance Tuberculosis (TB) is caused by a bacterium called Mycobacterium tuberculosis (M. Observations indicate, Tuberculosis is mostly curable but without proper treatment, about two thirds of people who get TB will die. These findings regarding Tuberculosis Control In The Western Pacific Region 2010 Report provide comprehensive context for understanding this subject.
View 3 Additional Research Points →▼
Tuberculosis: causas y cómo se propaga | Tuberculosis | CDC
Causas La tuberculosis es una enfermedad causada por la bacteria o microbio Mycobacterium tuberculosis. Cuando se inhalan, los microbios de la tuberculosis pueden depositarse en los pulmones y …
Clinical Overview of Tuberculosis Disease | Tuberculosis (TB) | CDC
Apr 17, 2025 · Clinical Overview of Tuberculosis Disease At a glance Tuberculosis (TB) is caused by a bacterium called Mycobacterium tuberculosis (M. tuberculosis). TB bacteria usually attack the lungs, …
Tuberculosis - World Health Organization (WHO)
Nov 13, 2025 · Tuberculosis is mostly curable but without proper treatment, about two thirds of people who get TB will die. Since 2000, about 83 million lives have been saved through effective diagnosis and …
Helpful Intelligence?
Our AI expert system uses your verification to refine future results for Tuberculosis Control In The Western Pacific Region 2010 Report.