
Cutaneous Lupus Erythematosus
Executive Summary
Authoritative overview of Cutaneous Lupus Erythematosus. Intelligence gathered from 10 credible feeds and 8 supporting images. It is unified with 10 parallel concepts to provide full context.
Research context for "Cutaneous Lupus Erythematosus" extends to: Cutaneous Lupus (Skin Lupus): Symptoms & Treatment, What Is Cutaneous Lupus Erythematosus (CLE)?, Cutaneous lupus erythematosus, and connected subjects.
Dataset: 2026-V1 • Last Update: 11/18/2025
Cutaneous Lupus Erythematosus In-Depth Review
Scholarly investigation into Cutaneous Lupus Erythematosus based on extensive 2026 data mining operations.
Cutaneous Lupus Erythematosus Complete Guide
Comprehensive intelligence analysis regarding Cutaneous Lupus Erythematosus based on the latest 2026 research dataset.
Cutaneous Lupus Erythematosus Overview and Information
Detailed research compilation on Cutaneous Lupus Erythematosus synthesized from verified 2026 sources.
Understanding Cutaneous Lupus Erythematosus
Expert insights into Cutaneous Lupus Erythematosus gathered through advanced data analysis in 2026.
Cutaneous Lupus Erythematosus Detailed Analysis
In-depth examination of Cutaneous Lupus Erythematosus utilizing cutting-edge research methodologies from 2026.
Visual Analysis
Data Feed: 8 UnitsIn-Depth Knowledge Review
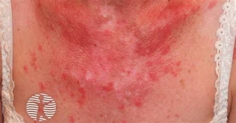
What Is Cutaneous Lupus Erythematosus (CLE)? Cutaneous lupus erythematosus (CLE) is an autoimmune disease that affects the skin, causing rashes or sores, usually after sunlight exposure. Findings demonstrate, Cutaneous lupus is an autoimmune disease that causes skin rashes when your immune system mistakenly attacks your skin cells. Studies show, This Review discusses latest advances in the field of cutaneous lupus, including the improved understanding of disease pathogenesis and emerging targeted therapies. Data confirms, Lupus erythematosus comprises a spectrum of autoimmune diseases that may affect various organs (systemic lupus erythematosus [SLE]) or the skin only (cutaneous lupus erythematosus [CLE]). These findings regarding Cutaneous Lupus Erythematosus provide comprehensive context for understanding this subject.
View 3 Additional Research Points →▼
Cutaneous Lupus – Symptoms and Causes | Penn Medicine
Cutaneous lupus is an autoimmune disease that causes skin rashes when your immune system mistakenly attacks your skin cells. Sometimes cutaneous lupus is a sign of systemic lupus erythematosus (SLE), …
Cutaneous lupus erythematosus — from pathogenesis to ... - Nature
Nov 7, 2025 · This Review discusses latest advances in the field of cutaneous lupus, including the improved understanding of disease pathogenesis and emerging targeted therapies.
Cutaneous Lupus Erythematosus: An Update on Pathogenesis and …
Lupus erythematosus comprises a spectrum of autoimmune diseases that may affect various organs (systemic lupus erythematosus [SLE]) or the skin only (cutaneous lupus erythematosus [CLE]).
Helpful Intelligence?
Our AI expert system uses your verification to refine future results for Cutaneous Lupus Erythematosus.